|
〒733-0815 広島市西区己斐上1丁目11番36号ここから己斐上ビル2F |

|
ホーム | 診療案内・交通 | 医師のプロフィール | 施設の概要 | よくある疾患について | 運動器リハビリ | リハビリ室の様子 | |

|
西広島駅より己斐峠方面へ 車で約5分 フレスタ、ファミリーマートを 過ぎて 「己斐中学校入り口」 バス停前 駐車場29台分有り
|
|
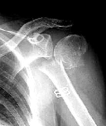
骨粗鬆症 骨量が減少し,骨の微細構造が破綻して、力学的強度が低下し骨折しやすくなった病態 (原発性骨粗鬆症の診断基準) |




|
大腿骨頚部骨折 脊椎圧迫骨折 手首の骨折 上腕骨骨折 |
|
【治療】@食事療法 乳製品が良い A適度な運動、日光浴 Bリハビリテーション→骨の萎縮を予防 C薬物治療 |
